Uncategorized
08 svibnja 2018
Estetska stomatologija
Ne znaš koju opciju odabrati i najradije bi ponovo odustao od svega. Anamaria je tvoj najbolji savjetnik za siguran odabir
Anamaria Anđelić
Osobni Dentalni Savjetnik
Moderna stomatologija podrazumijeva zdrave zube i usmjerava se na njihov izgled. Iz tog trenda je nastala estetska stomatologija.
Estetska stomatologija ujedinjuje sve grane stomatologije u stvaranju osmijeha koji odgovara estetskim zahtjevima (slika 1). U rekonstrukciju su najviše uključeni prednji gornji zubi, najvidljiviji prilikom smijeha i govora.

Slika 1: Estetska rekonstrukcija osmijeha
Karakteristike savršenog osmijeha:
- zubi su ravni i među njima nema razmaka,
- veličinom i oblikom usklađeni su sa građom lica,
- svijetle su boje,
- bez mrlja i tragova trošenja.
Razlozi dolaska stomatologu su različiti. Ponekad se radi o sitnim karijesima i nezadovoljstvu bojom zuba. U tom slučaju rezultati se postižu jednostavno i brzo, kompozitnim-bijelim ispunima, čišćenjem kamenca i izbjeljivanjem zuba (slika 2).

Slika 2: Izvanredni rezultati endodontskog izbijeljivanja zuba.
Što je to smile makeover?
Međutim, u poliklinici Breyer često se susrećemo sa zahtjevima za pravom rekonstrukcijom osmijeha. Popularno se taj postupak zove smile makeover, a zahtjeva više vremena i suradnju specijalista raznih grana dentalne medicine. To su slučajevi kada su zubi jače oštećeni karijesima ili trošenjem, nepravilno postavljeni ili neki i nedostaju.
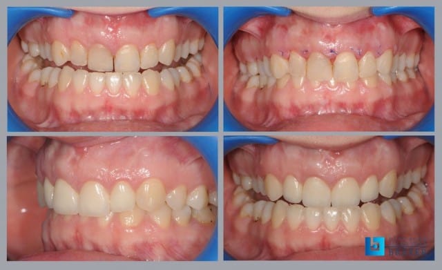
Napredak estetske stomatologije prvenstveno se temelji na pojavi bezmetalnih krunica. U usporedbi sa klasičnim metalkeramičkim krunicama, krunice od bezmetalne keramike pužaju jednaku čvrstoću i neusporedivo bolju estetiku. Zahvaljujući svom sastavu (cirkon-keramika ili potpuna keramika) bezmetalne krunice su bijele boje iznutra i izvana. Tako je izbjegnuta mogućnost pojave sivog ruba zbog povlačenja zubnog mesa kao kod krunica sa metalnom podlogom. Bezmetalne krunice su i tanje pa se zub treba manje brusiti, a prozirnost materijala daje im potpuno prirodan izgled zuba. Sve ove karakteristike osiguravaju vrhunsku estetiku i trajnost rezultata terapije (slika 3).

Slika 3: Savršena estetika bezmetalnih krunica.
Prilikom uljepšavanja osmijeha prilično je važna i vidljivost zubnog mesa. Često jače vidljivo zubno meso prate i mali zubi, tzv. gummy smile, što narušava estetiku osmijeha. Takvu situaciju u poliklinici Breyer rješavmo jednostavnim uklanjanjem viška zubnog mesa. Istovremeno se i povećava vidljivi dio zuba kako bi se postigao lijep i skladan osmijeh (Slika 4).

Slika 4: Produljenje krune zuba uklanjanjem viška zubnog mesa
U estetskoj stomatologiji značajno mjesto zauzima ortodoncija, grana dentalne medicine koja se bavi ravnim zubima. Nošenje fiksnih ortodontskih aparatića više nije rezervirano za djecu, sve češće ih viđamo kod odraslih. Velik broj pacijenata poliklinike Breyer posegnulo je za ortodontskom terapijom, kojom se postiže lijep izgled i uspostavlja pravilan zagriz, bitan za zdravlje cijelog žvačnog sustava (slika 5). Koristi se za postavljanje zuba u optimalan položaj za izradu krunica i tako znatno poboljšava konačni rezultat.

Slika 5: Ortodontska terapija namijenjena je svim uzrastima i rješava problem nepravilnog zagriza
Rekonstrukcija osmijeha (SMILE MAKEOVER) vrlo je složen proces koji zahtijeva vrijeme i strpljivost pacijenta i suradnju stomatologa sa kolegama specijalistima. Međutim konačni rezultat opravdava trud i stavlja savršeni osmijeh na lice.
Kontaktirajte nas pozivom na broj 00385 99 7000 999, preko WhatsAppa ili putem Facebook Messengera, rado ćemo Vas voditi u odluci do novog osmijeha krojenog baš po Vašoj mjeri!