Uncategorized
18 svibnja 2018
Kako spriječiti karijes u 5 koraka?
Ne znaš koju opciju odabrati i najradije bi ponovo odustao od svega. Anamaria je tvoj najbolji savjetnik za siguran odabir
Anamaria Anđelić
Osobni Dentalni Savjetnik
Kad je riječ o oralnoj higijeni tada svi smatramo da je to nešto opće poznato o čemu se ne treba posebno diskutirati. Ali u većini slučajeva ljudi neizbježno dolaze stomatologu radi problema sa zubima uzrokovanih karijesom ili bolestima zubnog mesa.
Većini ljudi odlazak stomatologu nije baš najugodniji događaj dana. Kako bi te posjete smanjili na redovnih dva puta godišnje, predstavit ću Vam pet koraka koji su ključni u sprječavanju nastanka karijesa.
1. EDUKACIJA PACIJENTA
Mi u Poliklinici Breyer smatramo da je naša zadaća i obveza educirati pacijenta o adekvatnoj oralnoj higijeni. To je prvi i najvažniji korak u provođenju mjera prevencije. Redovni odlasci kod stomatologa na kontrolne preglede (dva puta godišnje) i odgovarajuća oralna higijena, nešto je što se očekuje od svakog pojedinca.

Slika 1: Uz četkicu, obavezno je čišćenje zuba koncem za zube i međuzubnim četkicama.
Asistencija roditelja i njihovo nadgledanje nad četkanjem zuba mora se provoditi do dobi djeteta od najmanje 7 godina. Četkica za djecu mora biti primjerena za njihovu dob. Mehaničko uklanjanje ostataka hrane uz adekvatan izbor četkice ključ je prevencije karijesa. Pri tom je bitno korištenje međuzubnih četkica i konca za zube (Slika 1.).
2. SMANJENO UZIMANJE ŠEĆERA
Nekima od nas, pri tom mislim i na sebe, teško pada ova druga točka. Ali, u cilju prevencije treba izbjegavati slatke međuobroke. Veliki broj roditelja pravi grešku hraneći djecu noćnim slatkim obrocima i napitcima, kao što su: Čokolino, kašice, zaslađeni napitci… Ovakvi obroci najčešće dovode do karijesa koji posebno brzo uništava zube.

Slika 2: Smanjen unos šećera kao preventiva protiv karijesa.
Roditelji imajte na umu: flašice koje dajete djeci pred spavanje punite isključivo vodom! Izbjegavajte umakanje duda varalica u slatke sokove, med… Pravilnim izborom anatomske dude varalice također se preveniraju i moguće ortodontske anomalije (Slika 2).
3. KONTROLA ZUBNOG PLAKA
Kontrola, kontrola, kontrola… i to s dobrim razlogom. Zadržavanjem plaka na površini zuba dolazi do razvoja karijesa, a upravo je to ono što želimo spriječiti. Na zubima postoje mjesta gdje se plak najčešće stvara i zadržava. Njegova kontrola i uklanjanje mogući su kako u ordinaciji tako i od strane samog pojedinca. Da bi rezultati bili dugotrajniji neophodna je i upotreba vodica za ispiranje usta s klorheksidinom.

Slika 3: Korištenje plak indikatora i vodice za ispiranje usta.
Osnovna namjena klorheksidina je u prevenciji oboljenja desnih, ali pokazalo se da je efikasan, kada se redovno koristi i u smanjenju karijesa.
Kod mlađih pacijenata, dobar motivacijski efekt postiže se tabletama ili vodicom za detekciju plaka – tzv. plak indikatorima (Slika 3). Njihova primjena je krajnje jednostavna i zanimljiva djeci. Tako ih od ranog djetinjstva učite temeljitoj oralnoj higijeni.
4. UPOTREBA FLUORA I FLUORIDA
U Poliklinici Breyer često koristimo gel s fluorom nakon nekih zahvata i kod premazivanja zuba našim mlađim pacijentima. Danas se unos fluorida na dnevnoj bazi smatra glavnim čimbenikom za kontrolu i prevenciju karijesa u djece. To je korak kojim se mogu zaustaviti početni stadiji karijesa. Ova metoda nema utjecaja kad karijes uznapreduje.

Slika 4: Upotreba odgovarajuće vrste i količine paste za zube.
Zubne paste mogu imati različite koncentracije fluorida, stoga je bitno koju vrstu paste dijete koristi s obzirom na svoju dob. Roditelji moraju strogo paziti da vrlo mala djeca ne koriste količinu paste za zube veću od veličine zrna graška dva puta dnevno. Nakon temeljitog četkanja, djeca bi trebala ispljunuti ostatak zubne paste i izbjeći neposredno ispiranje vodom, kao i neposredno konzumiranje obroka nakon četkanja (Slika 4).
5. PEČAĆENJE FISURA NA GRIZNIM POVRŠINAMA ZUBA
Važan postupak u sprečavanju nastanka karijesa kod djece je preventivno pečaćenje fisura (udubljenja) na griznim površinama stalnih zuba (šestice). Oblik kutnjaka i pretkutnjaka zbog udubljenja i ispupčenja, pogoduje zadržavanju hrane, a njihovo pečaćenje smanjuje ovu mogućnost, kao i nastanak karijesa na tim mjestima. Time se postiže veliki preventivni učinak uz minimalnu i neinvazivnu intervenciju.

Slika 5: Pečaćenje fisura kao preventiva.
Nije da je „luk i voda“, ali pet koraka je ipak manje od 6. Svako tko je osjetio bol zubobolje trebao bi razmisliti koji od ovih pet koraka mu je promakao u dnevnoj rutini ili mu ne pridaje potrebnu važnost.

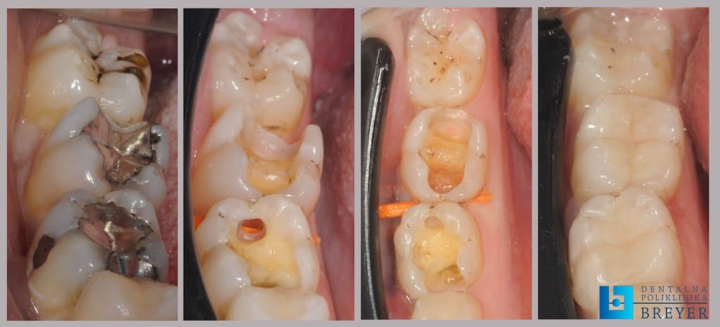
Slika 6: Stručnost i spretnost stomatologa ključna je u postizanju ovako estetskog rezultata.
Kako kažu naši stari: „Bolje je spriječiti nego liječiti“, ali ako ipak dođe do potrebe liječenja zuba, tada nam se obratite s povjerenjem. Kod nas je popravak zuba bezbolan a pokvareni zubi nakon naše intervencije izgledaju kao novi (Sl. 6).
Kontaktirajte nas pozivom na broj 00385 99 7000 999, preko WhatsAppa ili putem Facebook Messengera, rado ćemo Vas voditi u odluci do novog osmijeha krojenog baš po Vašoj mjeri!