Uncategorized
21 svibnja 2018
Napredna stomatologija – hibridna proteza na prečku
Tvoj Osobni dentalni savjetnik, tvoja desna ruka i pomoć kad je najpotrebnije
Mia Šupica
Osobni Dentalni Savjetnik
Za nedostatak svih zuba u čeljusti najčešće je rješenje potpuna zubna proteza. Najčešći problem na koji se žali većina pacijenata s potpunim protezama svakako je ispadanje proteze, što im stvara veliku neugodu i narušava samopouzdanje. Od ostalih poteškoća pacijenti također navode probleme s govorom, žvakanjem i prehranom, žuljanjem proteze itd.
Glavni kriterij u protetici je ponovna uspostava narušene govorne i žvačne funkcije i estetike uslijed gubitka zubi. Obzirom na probleme na koje se žali većina pacijenata s potpunim zubnim protezama, vidljivo je kako obična proteza ne ispunjava upravo taj glavni kriterij.
Danas u svijetu standard u protetskoj sanaciji totalno bezubih pacijenata čine proteze ili mostovi na implantatima (Slika 1, 2 i 3). Jedan naš slučaj sanacije totalne bezubosti protezama na implantatima prikazan je dalje u tekstu.

Slika 1. Izgled gornje i donje proteze koje se vežu na prečku. Iz slika je vidljivo da su obje proteze maksimalno reducirane, tj. smanjene i da gornja proteza ne ide preko nepca.
Ovisno o broju implantata, govorimo o protezama učvršćenima na dva do četiri implantata. Glavne prednosti ovakvih protetskih radova su izvrsna čvrstoća proteze te prijenos sila na kost zbog čega dolazi do znatno sporijeg nestajanja kosti.
Prije odluke na bilo kakav zahvat koji uključuje ugradnju implantata potrebno je dobro proučiti kvalitetu kosti. Kod proteze na prečku veliku prednost čini to što je potrebno malo kosti jer implantati ne moraju biti međusobno paralelni. Također, takvim protetskim rješenjem nadomještamo i tvrda i meka tkiva, što je vrlo važno, pogotovo kod pacijenata koji su zbog dugogodišnje bezubosti izgubili veliki dio kosti.
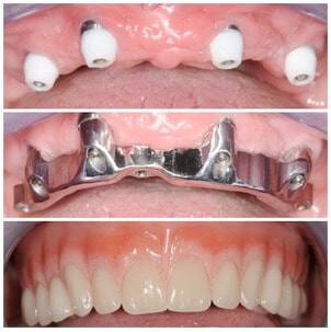
Najbolje rezultate pokazala je individualno frezana prečka (Slika 2 i 3) koja kao dodatne elemente za učvršćivanje ima i tri zglobne veze.

Slika 2. Od ugradnje implantata do predaje hibridne proteze koja je totalno individualizirana tako da vjerno oponaša i tvrda (zube) i meka (zubno meso) tkiva.
Prednost ovakve prečke je njezina visoko ispolirana i glatka površina na koju je nakupljanje naslaga svedeno na minimum, zbog čega su upale zubnog mesa i implantata izrazito rijetke. Također, sam dizajn prečke mora biti takav da onemogućava nakupljanje hrane između prečke i zubnog mesa. Dok prečka trajno ostaje u ustima, protezu je moguće izvaditi čime je olakšano čišćenje. Izgled takve proteze je puno prirodniji od uobičajene proteze. Kako se proteza izrazito čvrsto drži za prečku, nije potrebna velika površina proteze, što znači da proteza ne ide preko nepca. To pacijentu čini ovakav protetski nadomjestak mnogo ugodnijim, a zbog čvrstoće veze ovakav rad pacijenti vrlo često uspoređuju s vlastitim zubima. Uz neusporedivo poboljšanu funkciju, na ovakvim radovima također je unaprijeđena i estetika te na slici 2 možemo vidjeti kako je individualiziran izgled zubnog mesa, zbog čega je praktički nemoguće primijetiti da pacijent nosi totalnu zubnu protezu.
PRIKAZ SLUČAJA
Pacijent je došao u našu Polikliniku kako bi nadoknadio sve zube gornje i donje čeljusti. Ortopanom i kliničkim pregledom utvrđen je veliki gubitak kosti na koju se hvataju zubne proteze. Kako se proteze ne bi imale na čemu držati, pacijentu je predložena ugradnja po četiri implantata u svaku čeljust te izrada proteze na prečku (slika 1, 2, 3). U našoj Poliklinici implantiramo isključivo Nobel Biocare implantate koji u svijetu već nekoliko desetljeća imaju reputaciju najkvalitetnijih, a implantaciju obavlja isključivo specijalist oralne kirurgije kako bismo osigurali najbolju kvalitetu usluge.

Slika 3. Prikaz pacijenta nakon protetske sanacije
Kontaktirajte nas pozivom na broj 00385 99 7000 999, preko WhatsAppa ili putem Facebook Messengera, rado ćemo Vas voditi u odluci do novog osmijeha krojenog baš po Vašoj mjeri!