Uncategorized
21 svibnja 2018
Otkrijte kako loš protetski rad može potaknuti parodontozu
Ne znaš koju opciju odabrati i najradije bi ponovo odustao od svega. Anamaria je tvoj najbolji savjetnik za siguran odabir
Anamaria Anđelić
Osobni Dentalni Savjetnik
U Hrvatskoj, 50 % odraslih ima neki oblik parodontne bolesti (gingivitis, parodontitis/ parodontoza) što je ujedno i najčešća bolest u usnoj šupljini te uzrok gubitka većeg broja zuba od karijesa.
Ponekad i loš protetski rad (navlake, implantati, mostovi, krunice) može bit uzrok parodontoze (gingivitis, parodontoza/ parodontitis)!
Kod nas u Poliklinici Breyer, velik broj pacijenata dolazi sa zahtjevima za protezom (navlake) u fazi kad je prodontna bolest već uznapredovala. U tom slučaju, prvo treba sanirati parodontozu a nakon toga planirati protetsku terapiju, jer dugotrajnost protetskog rada velikim dijelom ovisi i o zdravim desnima. Parodontne bolesti ne zahvaćaju samo stariju populaciju već se mogu razviti i kod mlađih osoba pa je važno znati faktore rizika i prepoznati simptome bolesti.
ŠTO JE PARODONTOZA?
Za samu definiciju parodontnih bolesti važno je objasniti što je uopće parodont?- Parodont su sve strukture koje ”drže zub u ustima”.

Postoje četiri strukture koje čine parodont (Slika 1):
- zubno meso (gingiva, desni),
- ligament,
- kost
- cement koji se nalazi na površini korijena.
Kada dođe do upale jedne od tih struktura, nastaje parodontna bolest– ozbiljna infekcija koja uništava meka tkiva i kost oko zuba. Kako je njihova uloga potpora zuba u ustima, ukoliko ostane neprepoznat i/ili neliječen, može doći do gubitka zuba!
TIJEK PARODONTNE BOLESTI ODVIJA SE U DVIJE FAZE:
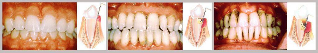
Faza 1. – GINGIVITIS je prva i najblaža upala je ona koja zahvaća samo zubno meso (desni, gingivu) (Slika 2.a). Klinička slika gingivitisa je upaljeno i otečeno zubno meso koje krvari na dodir. To je jedini stadij bolesti koji je skroz izlječiv. Poboljšanjem oralne higijene i redovitim čišćenjem zubnog kamenca, ovaj stadij bolesti moguće je sanirati.

Slika 2.a) Gingivitis; b) Parodontoza; c) uznapredovala parodontoza
Faza 2.- PARODONTOZA je sljedeća faza bolesti prilikom čega dolazi do ”uništenja” ligamenta i kosti. Ova faza uvijek slikedi nakon prve manifestacije upale- gingivitisa. Dakle, ukoliko na prvi znak krvarenja ne potražite pomoć doktora dentalne medicine (stomatologa), moguće je da se bolest nastavi u parodontozu koji ”otapa” kost i ligament koji ”drži zub u ustima”. Posljedično dolazi do pojave ”velikih zuba” u ustima, razmicanja zuba (stvaranja prostora između njih), ružnog zadaha i, na kraju, klimanja i ispadanja zuba (Slika 2.b) i c).Više o uzrocima, liječenju parodontoze i samotestu za faktor rizika možete naći na našoj stranici.
NELIJEČENA PARODONTOZA I PROTETIKA
Parodontozu nije moguće izliječiti, već samo jako usporiti! Ukoliko parodontoza nije prepoznata, a samim time, niti liječena, a pacijent nastavi s protetikom (navlake) kako bi nadoknadio izgubljene zube, neminovno će doći do većeg gubitka zubi nego što bi to bilo da je prvo sanirana primarna bolest. Potrebno je shvatiti parodontologiju kao temelj oralnog zdravlja. Bez dobrog temelja, ugroženi su zubi i sam protetski rad. Kao što je pravilo u modernoj stomatologiji, tako i u poliklinici Breyer, najbližu suradnju ostvaruju parodontolog i protetičar. Za protetičara, zdravlje parodonta ključno je za dugotrajnost samog rada. S druge strane, loš protetski rad može biti uzrok nastanka parodontne bolesti ili pak može dodatno ubrzati njen tijek.
Prilikom same izrade protetskog nadomjestka (navlaka, most) stomatolog (protetičar) bi trebao posebno obratiti pažnju na tri parametra kako ne bi došlo da nastanka ili daljnjeg razvoja parodontne bolesti a sam protetski rad dulje trajao.
- Brušene zuba za krunicu (navlaka)– prilikom brušenja zuba za krunicu (navlaka) ne smije se oštetiti prvu linija obrane parodonta (tzv. Biološka širina), što ima za posljedicu konstantnu upala i povlačenje zubnog mesa (Slika 4.a).
- Debele krunice i prevjesi omogućuju puno bolje zadržavanje bakterija oko zubnog mesa čime bolest puno brže napreduje (Slika 4.a).
- Precizan plan terapije – prije samog plana terapije, važno je napraviti dugoročnu prognozu svakog zuba u ustima te eliminirati sve zube koji ne bi bili dobri nosači za budući rad. Ukoliko se opterete i takvi zubi, vrlo brzo će doći do većeg gubitka zuba nego što bi to bilo da je na početku provedena parodontna terapija (Slika 3).
Kontaktirajte nas pozivom na broj 00385 99 7000 999, preko WhatsAppa ili putem Facebook Messengera, rado ćemo Vas voditi u odluci do novog osmijeha krojenog baš po Vašoj mjeri!