Uncategorized
21 svibnja 2018
Tamno iznad zuba
Tvoj Osobni dentalni savjetnik, tvoja desna ruka i pomoć kad je najpotrebnije
Mia Šupica
Osobni Dentalni Savjetnik
Vrlo je vjerojatno da će se stomatolog tijekom prakse susresti s pacijentima koji potraže pomoć vezano za, kako to pacijenti vide, tamno iznad zuba. Slučaj je tim gori ako je kod pacijenta jako vidljivo zubno meso prilikom osmijeha ili govora. Ova pojava nažalost nije rijetkost, a njezini uzroci su različiti.
U ovom članku pronaći ćete odgovore na dva glavna pitanja vezana uz tamno zubno meso.
- ZAŠTO ZUBNO MESO TAMNI IZNAD ZUBA (KRUNICE)?
Postoji nekoliko razloga za tamnjenje zubnog mesa iznad krunice:
- Trauma (udarac, pad i sl.) ili loše liječen zub, najčešći su uzroci tamnjenja zuba (caklina, dentin). Zub, kako to pacijenti opisuju, pocrni ili poplavi. Vrlo često riječ je o prednjim zubima, a u tom slučaju, pacijentima predstavlja veći problem. Smatra se neestetskim i pacijenti, nekad i nesvjesno, „skrivaju zube“ prilikom osmijeha.
- Tijekom poliranja metalnih ispuna ili brušenja metalnih nadogradnji, ako pritom dođe do sitnih ozljeda sluznice, metalna prašina može ući u tkivo i uzrokovati obojenje- tetovažu zubnog mesa. Ovisno o vrsti metala, ono može biti sivkasto plavo (amalgam) ili žućkasto smeđe (zlato).
- „Preduga ili predebela“ krunica može „pritiskati“ zubno meso i uzrokovati upalu koja za posljedicu ima promjenu boje zubnog mesa i povlačenje zubnog mesa.Kad se povuče zubno meso vidi se metalni rub krunice što ne izgleda lijepo i što bi naši pacijenti svakako željeli izbjeći.
- Loša higijena, posebno ako je udružena s genetskom predispozicijom, može uzrokovati razvoj parodontne bolesti (parodontitis, parodontoza). Zbog toga boja sluznice postane tamno crvena ili plavkasta, a zubno meso „nabubreno“ i sklono krvarenju.
- Sistemske bolesti, kao što su npr. bolesti nadbubrežne žlijezde, parodontitis, ali i pušenje, mogu biti uzrok promjene boje zubnog mesa. Zubno meso pušača često umjesto zdravo ružičastog postane smećkasto.
Naposljetku, pitanje koje se samo po sebi nameće je kako to popraviti/riješiti? Dobra je vijest da takva stanja ne moraju nužno ostati trajna. Kako kaže stara kineska poslovica: „Ako postoji, mogućnost ispravljanja pogreške je nešto predivno.“
- MOŽE LI SE VRATITI ZDRAVA BOJA ZUBNOM MESU NAKON TAMNJENJA?
Rješenje pojedinog problema ovisi o njegovom uzroku, pa ćemo ga razmotriti na sličan način.
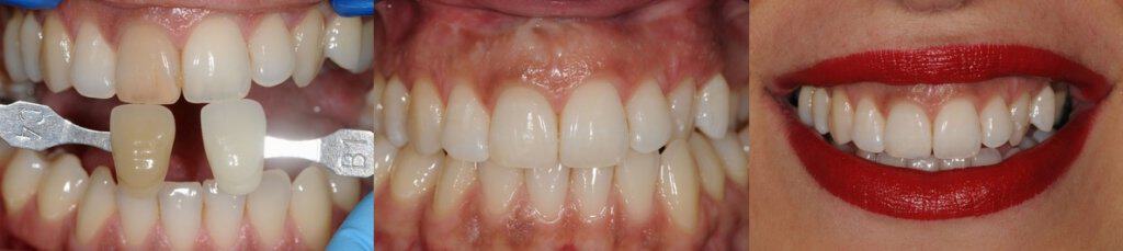
- Traumu (udarac) se ponekad može spriječiti, tako da se pri bavljenju sportom, napravi zaštita za zube- udlaga koja obuhvaća zube. Ako je do udarca već došlo, potrebno je napraviti endodontsko liječenje zuba („izvaditi živac“). Ako je oštećenje veće, tada je potreban ispun („plombica“) ili krunica. Neadekvatno liječene zube promijenjene boje u većini je slučajeva moguće ponovno liječiti i zatim izbijeliti (Slika 1).

Slika 1: Primjer izbjeljivanja potamnjelog zuba
2. U terapiji implantatima bitno je da postavljanje samih implantata prepustite educiranom stručnjaku s iskustvom. Tako ćete izbjeći loš estetski rezultat, posebno ukoliko je riječ o prednjim zubima. Nadogradnje na implantatima također mogu biti napravljene od visoko estetskih materijala u boji zuba (cirkon keramičke i pune keramičke krunice). Time se postižu rezultati koji će izazvati zadovoljstvo pacijenta i terapeuta te pacijentima ponovno nakon njihovih problema izmamiti osmijeh na lice.(Slika 2).

3. Ako su razlog „preduge ili predebele“ krunice koje pritišću zubno meso potrebno ih je ukloniti, pričekati oporavak upaljenog i oštećenog tkiva, a tek potom pristupiti izradi novih cirkonskih ili drugih bezmetalnih krunica (Slika 3). Pacijenti koji nam se obrate za pomoć, često imaju najviše estetske zahtjeve i u razgovoru navode tamno zubno meso ili crni rub krunice koji im predstavljaju problem. U Poliklinici Breyer imamo tehnologiju kojom takve probleme možemo u potpunosti eliminirati. Na raspolaganju nam je nekoliko vrsta bezmetalnih krunica i zubne ljuskice s pomoću kojih postižemo iznimne estetske rezultate.

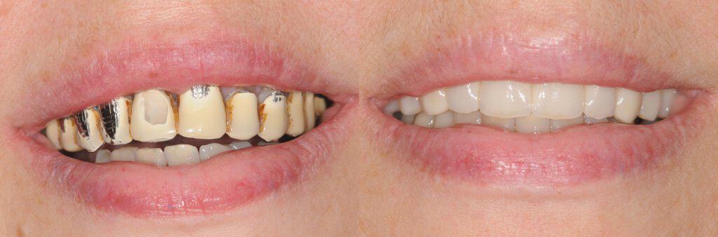
4. U slučaju parodontoze uzrokovane lošom higijenom, potrebno se za terapiju obratiti stručnjaku, koji će vam uz provedbu terapije objasniti kako se sami možete bolje brinuti za zdravlje svojih zuba i zubnog mesa kroz odgovarajuće postupke vezane za oralnu higijenu (pravilno četkanje, čišćenje zubnim koncem i međuzubnim četkicama, ispiranje antiseptičkim tekućinama, korištenje tuša za zube i sl.). Najvažnija osoba u ovoj vrsti terapije nije terapeut, to ste Vi sami. Ako je zbog parodontoze došlo do „povlačenja“ zubnog mesa i izlaganja/ „vidljivosti“ metalnog ruba krunice, potrebno je napraviti parodontnu terapiju. Nakon oporavka, moguće je napraviti bezmetalne krunice (cirkon keramičke ili pune keramičke) koje ne sadrže metale (Slika 4). Stare metalne nadogradnje u nekim je slučajevima moguće izvaditi i zamijeniti ih estetskim intrakanalnim nadogradnjama- kolčićima od kompozitnih vlakana koji su boje zuba. Ako vađenje istih nije moguće, odgovarajućom vrstom krunica može se „maskirati“, odnosno prekriti područje nadogradnje i tako postići odgovarajuću željenu boju.

Slika 4: Dotrajale krunice su zamijenjene novim cirkon keramičkim a parodontoza liječena
-
Ako je uzrok promjena postojeća sistemska bolest, potrebno ju je prvo liječiti.
-
Ako su uzrok cigarete, kroz određeni vremenski period nakon prestanka pušenja, zubno meso i sluznica će spontano poprimiti svoju prirodnu boju. Prestanak pušenja način je na koji svome zdravlju, ne samo zubi i usta, već cijelog organizma, dajete neprocjenjiv dar.
Kontaktirajte nas pozivom na broj 00385 99 7000 999, preko WhatsAppa ili putem Facebook Messengera, rado ćemo Vas voditi u odluci do novog osmijeha krojenog baš po Vašoj mjeri!