Implantati
21 svibnja 2018
Trebam zub, ali da je “kao pravi”
Ljubazan prvi glas pun razumijevanja koji čuješ kad nas nazoveš za više informacija
Mateja Hodžić
Osobni Dentalni Savjetnik
U Stomatološkoj Poliklinici Breyer nerijetko čujemo rečenicu vezanu za krunice (navlake):
- „Doktore zamijenio bih zub, ali da se ne skuži. Ono, da je kao pravi.“
Ima puno rješenja, ali pacijenta u pravilu, uvijek prvo upoznamo s opcijama kako bi mogao odabrati najbolje za sebe.
Oni od Vas, koji namjeravaju već neko vrijeme zamijeniti svoje stare navlake ili su tek u fazi da im po prvi put one trebaju, vjerojatno će pronaći odgovor na svoje pitanje među slijedećih 9 odgovora:
1. Koja je razlika između metal keramike, cirkon keramike i EMAX-a?
Sve tri vrste krunice imaju zajedničku karakteristiku – bijelu boju zuba u usnoj šupljini. Razlika je u unutarnjoj strani koja dolazi direktno na zub:
- Metal-keramička krunica ima metalnu bazu na koju se peče keramika. Pogodna je za stražnje zube jer ima dovoljnu čvrstoću, ali nije estetski najbolja.
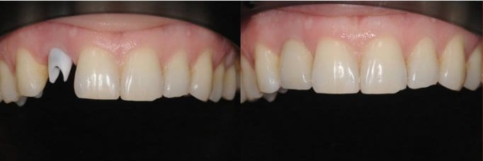
- Cirkon-keramičke krunice imaju bijelu cirkonsku bazu, estetski su prihvatljivije i pogodne i za mostove (Slika 1a).
- EMAX krunice su potpuno keramičke i pružaju najprirodniji izgled (Slika 1b).


2. Postoji li razlika i u cijeni?
Da, cijene se razlikuju jer su materijali i izrada cirkonskih i EMAX krunica skuplji i složeniji nego kod metal-keramike.
3. Da li je metal keramika lošija od cirkon keramike?
Funkcionalno nije lošija, ali estetski je inferiorna jer ne reflektira svjetlost kao potpuno keramičke krunice.
4. Da li se kod metal keramičke krunice vidi crni rub?
Može doći do prosijavanja metalnog ruba nakon povlačenja zubnog mesa, što je estetski problem osobito na prednjim zubima.
5. Može li cirkon keramika na implantat?
Da, uz korištenje cirkonske suprastrukture koja osigurava prirodniji izgled i refleksiju svjetla.
6. Kad se ne može staviti cirkon keramika?
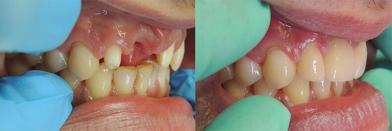
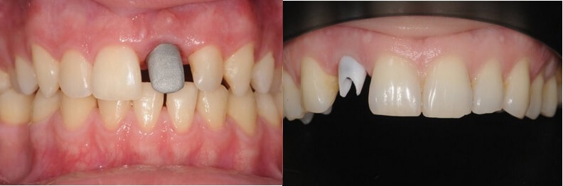
Ako zub potamni ili sadrži metalnu nadogradnju (Slika 2a), ona se mora zamijeniti bijelom (cirkonskom) nadogradnjom (Slika 2b), što nije uvijek moguće.

7. Zbog čega u nekim slučajevima zubno meso iznad krunice potamni i krvari?
Pročitajte više o tome ovdje. Tamnjenje i krvarenje mesa može biti znak upale i zahtijeva tretman.
8. Kad dolazi do upale zubnog mesa iznad krunice i kako ga riješiti?
Zubi s krunicama zahtijevaju veću higijenu jer se na spoju zuba i krunice nakuplja hrana i bakterije. Terapija u početku uključuje temeljitu oralnu higijenu, a kod težih slučajeva preporučuje se parodontološki pregled.
9. Kod osoba sa izraženim dubokim zagrizom, koji se tip krunica preporučuje na prednjim gornjim zubima?
Nakon podizanja zagriza na stražnjim zubima, za prednje gornje zube preporučuju se cirkon-keramičke krunice jer kombiniraju estetiku i trajnost.
Nadamo se da su Vam naši odgovori barem malo pomogli da razjasnite razlike između opcija i lakše donesete odluku o terapiji.
Kontaktirajte nas pozivom na broj 00385 99 7000 999, preko WhatsAppa ili putem Facebook Messengera, rado ćemo Vas voditi do novog osmijeha krojenog baš po Vašoj mjeri!
U Stomatološkoj Poliklinici Breyer nerijetko čujemo rečenicu vezanu za krunice (navlake):
- „Doktore zamijenio bih zub, ali da se ne skuži. Ono, da je kao pravi.“
Ima puno rješenja, ali pacijenta u pravilu, uvijek prvo upoznamo s opcijama kako bi mogao odabrati najbolje za sebe.
Oni od Vas, koji namjeravaju već neko vrijeme zamijeniti svoje stare navlake ili su tek u fazi da im po prvi put one trebaju, vjerojatno će pronaći odgovor na svoje pitanje među slijedećih 9 odgovora:
1. Koja je razlika između metal keramike, cirkon keramike i EMAX-a?
Sve tri vrste krunice imaju zajedničku karakteristiku – bijelu boju zuba u usnoj šupljini. Razlika je u unutarnjoj strani koja dolazi direktno na zub:
- Metal-keramička krunica ima metalnu bazu na koju se peče keramika. Pogodna je za stražnje zube jer ima dovoljnu čvrstoću, ali nije estetski najbolja.
- Cirkon-keramičke krunice imaju bijelu cirkonsku bazu, estetski su prihvatljivije i pogodne i za mostove (Slika 1a).
- EMAX krunice su potpuno keramičke i pružaju najprirodniji izgled (Slika 1b).


2. Postoji li razlika i u cijeni?
Da, cijene se razlikuju jer su materijali i izrada cirkonskih i EMAX krunica skuplji i složeniji nego kod metal-keramike.
3. Da li je metal keramika lošija od cirkon keramike?
Funkcionalno nije lošija, ali estetski je inferiorna jer ne reflektira svjetlost kao potpuno keramičke krunice.
4. Da li se kod metal keramičke krunice vidi crni rub?
Može doći do prosijavanja metalnog ruba nakon povlačenja zubnog mesa, što je estetski problem osobito na prednjim zubima.
5. Može li cirkon keramika na implantat?
Da, uz korištenje cirkonske suprastrukture koja osigurava prirodniji izgled i refleksiju svjetla.
6. Kad se ne može staviti cirkon keramika?
Ako zub potamni ili sadrži metalnu nadogradnju (Slika 2a), ona se mora zamijeniti bijelom (cirkonskom) nadogradnjom (Slika 2b), što nije uvijek moguće.

7. Zbog čega u nekim slučajevima zubno meso iznad krunice potamni i krvari?
Pročitajte više o tome ovdje. Tamnjenje i krvarenje mesa može biti znak upale i zahtijeva tretman.
8. Kad dolazi do upale zubnog mesa iznad krunice i kako ga riješiti?
Zubi s krunicama zahtijevaju veću higijenu jer se na spoju zuba i krunice nakuplja hrana i bakterije. Terapija u početku uključuje temeljitu oralnu higijenu, a kod težih slučajeva preporučuje se parodontološki pregled.
9. Kod osoba sa izraženim dubokim zagrizom, koji se tip krunica preporučuje na prednjim gornjim zubima?
Nakon podizanja zagriza na stražnjim zubima, za prednje gornje zube preporučuju se cirkon-keramičke krunice jer kombiniraju estetiku i trajnost.
Nadamo se da su Vam naši odgovori barem malo pomogli da razjasnite razlike između opcija i lakše donesete odluku o terapiji.
Kontaktirajte nas pozivom na broj 00385 99 7000 999, preko WhatsAppa ili putem Facebook Messengera, rado ćemo Vas voditi do novog osmijeha krojenog baš po Vašoj mjeri!