Uncategorized
21 svibnja 2018
Zašto retainter nakon aparatića za zube?
Ljubazan prvi glas pun razumijevanja koji čuješ kad nas nazoveš za više informacija
Mateja Hodžić
Osobni Dentalni Savjetnik
Oni koji su nosili aparatić za zube znaju s kakvim nestrpljenjem su dočekali kraj terapije očekujući da će njihovi zubi napokon osjetiti davno zaboravljenu slobodu. Kao što bi pomislili, skidanje aparatića za zube ne označava kraj terapije nego početak faze retencije.
Kako bi razjasnili nedoumice koje muče većinu mojih ortodontskih pacijenata, a siguran sam da će i oni koji nisu moji pacijenti, a nose ili namjeravaju nositi aparatić za zube, a nisu svjesni važnosti retainer nakon ortodontske terapije pronaći odgovore na neka svoja pitanja u ovom članku.
ČEMU RETAINER NAKON APARATIĆA?
Dakle, zubi se pomiču cijeli život. Ti pomaci su više ili manje vidljivi, čak i nakon nošenja aparatića za zube. Zubi će se nedvojbeno pokušati vratiti u svoj „prirodni položaj“ u kojem su bili prije nošenja aparatića. Kako bi to spriječili nužno je nositi retainer jer on je sastavni dio ortodontske terapije.
ZAR SKIDANJEM APARATIĆA NE ZAVRŠAVA ORTODONTSKA TERAPIJA?
Ne. Nakon što se aparatićem zubi postave u određeni položaj slijedi faza retencije, koja je sastavni dio ortodontske terapije i jednako bitna kao i nošenje aparatića. Retaineri nemaju za svrhu pomicati zube već zadržati zube u određenom položaju. U toj fazi je nužno pridržavati se uputa ortodonta vezanih uz nošenje retainera.
VRSTE RETAINERA
Osnovna podjela retainera je na fiksne i mobilne:
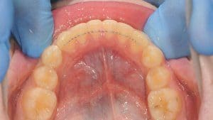
• FIKSNI RETAINER je posebna žica koja se zalijepi s unutarnje strane zuba, obično na donjoj čeljusti. Nošenje ove vrste retainera je za pacijenta nešto ugodnije nego kod mobilnih retainera, jedino na što se treba obratiti posebna pažnja je higijena donjih sjekutića s unutarnje strane (Slika 1. ).

Slika 1: Fiksni retainer postavlja se s unutarnje strane zuba.
• MOBILNI RETAINER je naprava od prozirne tanke krute plastike koja je individualno formirana po zubima pacijenta i tijesno prianja uz njih. Za razliku od fiksnih, ovi retaineri se mogu skidati i stavljati na zube (Slika 2.).

Slika 2: Mobilni retainer
KOLIKO DUGO TRAJE FAZA RETENCIJE- NOŠENJE RETAINERA?
Kao i oblik terapije, duljina faze retencije je individualna i o njoj odlučuje ortodont.
KAKO OČISTITI RETAINER?
Potrebno ga je redovito čistiti. Najbolje samo hladnom vodom (NE pastom za zube) i četkicom za zube koja ima manju glavu. Dobro ga je ponekad ostaviti da se namoči u otopini za čišćenje proteza, vodice za ispiranje usta ili alkohola. Prilikom čišćenja potrebno je paziti da ga ne stišćemo jako kako ga ne bi deformirali ili oštetili.
ŠTO AKO NE NOSIM REDOVITO SVOJ RETAINER?
U tom slučaju treba znati da će se zubi brzo pokušati vratiti u svoj prvobitni položaj a ortodontsku terapiju će, nažalost biti potrebno ponoviti. Dakle sav trud može biti „bačen u vjetar“.
NENOŠENJE / OŠTEĆEN RETAINER
Meni osobno ovoj je najzanimljiviji dio, jer sam čuo gomilu isprika za oštećenje i nenošenje retainera. Evo da podijelim s Vama i malo Vas zabavim ovo su neke od najzanimljivijih isprika koje sam samo u posljednje vrijeme čuo:
„Pas mi je progrizao retainer.“
„Bio mi je u stražnjem džepu hlača i sjela sam na njega“
„Mama mi ga je slučajno bacila u smeće“
„Nisam ga htjela otopiti nego samo bolje oprati pa sam ga stavila u kipuću vodu.“
„Retainer mi je ispao u moru dok sam ronio“.
Naime, ako i dođe do toga da Vam „pas pojede retainer“ ili ga zadesi bilo koja druga nezgoda, potrebno je odmah se javiti svom stomatologu kako bi Vam izradili novi retainer i tako spriječili pomicanje zuba u neželjeni položaj.
Kontaktirajte nas pozivom na broj 00385 99 7000 999, preko WhatsAppa ili putem Facebook Messengera, rado ćemo Vas voditi u odluci do novog osmijeha krojenog baš po Vašoj mjeri!