Uncategorized
21 svibnja 2018
All on 4 bezube čeljusti
Ljubazan prvi glas pun razumijevanja koji čuješ kad nas nazoveš za više informacija
Mateja Hodžić
Osobni Dentalni Savjetnik
Velik postotak ljudi koji dugo vremena nose ili, bolje rečeno, pate se noseći mobilne proteze, ne znaju da za njihove probleme postoji jednostavno i brzo rješenje uz All-On-4 koncept. U svojoj Poliklinici vidio sam neke slučajeve gdje su takvi problemi ozbiljno narušili samopouzdanje, ograničiti društvene aktivnosti ili poremetili prehrambene navike pacijenta.
Upravo iz navedenih razloga svojim pacijentima koji su ostali bez svih zubi u gornjoj ili donjoj čeljusti, preporučujem implantoprotetsko rješenje bezubosti. Riječ je o protetskim radovima na 4 ili 6 implantata. Većina njih ili nije čula za tu mogućnost ili nije dovoljno dobro informirana o samom postupku. Zbog toga bih volio i vama koji se možda nalazite u sličnoj situaciji pokušati odgovoriti na najčešća pitanja s kojima se susrećem u svojoj Poliklinici, a koja su vezana za ugradnju implantata kod totalne bezubosti. Riječ je o 4 (tzv. All-On-4) ili 6 (tzv. All-On-6) implantata na koji ide fiksni most, tj. most koji se ne vadi iz usta.
1. ŠTO JE All-On-4?
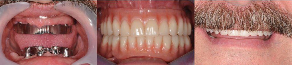
Metoda All-On-4 ORIGINAL u slobodnom prijevodu znači sve na četiri Nobel Biocare implantata. To je revolucionarna metoda izrade zubne proteze za bezubu gornju ili donju čeljust pričvršćenu na 4 implantata. Predstavlja minimalno invazivnu i bezbolnu metodu čija ugradnja traje kratko. Upravo iz tog razloga sve je češći izbor kod pacijenata pogodnih za ovu vrstu terapije. Ovaj koncept omogućuje Vam da izbjegnete sve loše strane mobilnih proteza ili bol koju osjećate kada pokušate nešto zagristi s nekoliko preostalih klimavih zuba kojima se služite.
All-On-4 ORIGINAL predstavlja most koji je fiksno učvršćen vijcima na četiri posebno postavljena implantata. Sam koncept podrazumijeva da se u jednoj posjeti izvade preostali loši zubi, ukoliko ih ima, te se ugrade implantati. Nakon ugradnje implantata slijedi izrada fiksnog mosta na vijke (Slika 1a). Takav je most privremen i isti dan nakon operacije učvršćuje se na ugrađene implantate. Pacijentu se nakon 3 mjeseca izrađuje trajni most (Slika 1b).

Slika 1: Fiksni most na 4 implantata ( All-On-4) – most koji se ne vadi iz usta
2. ŠTO JE All-On-6?
Za razliku od All-On-4, All-On-6 predstavlja fiksni protetski rad na 6 implantata. Naravno da je uvijek bolje imati čim više nosača za protetski rad, no ponekada smo zbog male količine ili loše kvalitete kosti ograničeni u broju implantata koje je moguće postaviti.
3. TKO JE KANDIDAT ZA All-On-4?
-
Osobe koje žele fiksni protetski rad, a koje su izgubile sve svoje zube
-
Pacijenti koji imaju potpunu protezu duži niz godina
-
Pacijenti kod kojih je tijekom vremena došlo do teškog gubitka kosti, posebno u stražnjem dijelu čeljusti
-
Pacijenti koji nemaju dovoljnu količinu kosti za All-On-6, tj most na 6 implantata
-
Pacijenti koji imaju zube u jako lošem stanju i koji su predviđeni za vađenje
4. U KOJIM SE SLUČAJEVIMA NE MOŽE RADITI All-On-4?
-
Ne preporučuju se u slučaju uznapredovale osteporoze
-
Kod pacijenata s nekontroliranim dijabetesom
-
Kod ozbiljnih kroničnih bolesti srca
-
Kod teških bubrežnih bolesnika
-
Ukoliko je pacijet unutar 6 mjeseci imao terapiju zračenjem u području glave i vrata
5. KOJA JE OPCIJA AKO NISAM KANDIDAT ZA 4?
U nekim slučajevima, kad zbog male količine ili loše kvalitete kosti nije moguće napraviti All-On-4 tada pacijentu ponudimo hibridnu protezu (Slika 2). Za razliku od All-On-4, ovaj se rad može vaditi iz usta. Više o samom radu možete pročitati OVDJE.
Izrazito se rijetko dogodi da količina kosti nije dovoljna niti za ovakvu vrstu rada te je tada potrebno napraviti određene nadogradnje kosti kako bi se kasnije mogli ugraditi implantati.

Slika 2: Hibridna proteza u slučaju kad nije moguće napraviti All-On-4
6. PREDNOSTI All-On-4?
-
Nema ispadanja zuba prilikom govora, žvakanja, kihanja
-
Nema ”zapadanja hrane” ispod proteze
-
Ugodnost prilikom jela
-
Odgrizanje svake vrste hrane
-
Vraćanje prirodnog izgleda lica i izgubljene funkcije žvakanja
-
Bez transplantacije kosti i dodatnih zahvata
-
Znatno niža cijena od All-On-6
-
Rekonstrukcija svih zuba jedne čeljusti na 4 implantata
-
Minimalno vrijeme oporavka
-
Implantati koje ugrađujemo (Nobel Biocare) imaju garanciju u slučaju adekvatne oralne higijene
-
Dugotrajno rješenje
-
Drastično poboljšanje kvalitete života
7. DA LI JE All-On-4 NAJBOLJE RJEŠENJE ZA BEZUBE ČELJUSTI?
Najbolje rješenje za nadoknadu svih zuba u čeljusti predstavlja All-On-6. Međutim, u određenim slučajevima nemamo dovoljnu količinu kosti za postavu 6 implantata te se tada odlučujemo za All-On-4, tj. most na 4 implantata.
8. TREBAM LI PRATI ZUBE AKO IMAM FIKSNI MOST?
Pacijenti često steknu krivi dojam da ne trebaju održavati oralnu higijenu ako nemaju niti jedan prirodni zub koji bi se mogao pokvariti. Kod pacijenata s fiksnim protetskim nadomjescima na implantatima od izuzetne je važnosti redovito i temeljito održavanje oralne higijene. Bez obzira na materijal, tehniku izrade ili vrstu nadomjestka, njihov vijek trajanja izravno ovisi o higijenskim uvjetima. Na protetskom radu nošenom na implantatima zubi se ne mogu pokvariti, ali može doći do upale zubnog mesa i kosti što jako ugrožava implantate u kosti, a time izravno i dugotrajnost samog rada.
9. KAKO SE ODRŽAVA HIGIJENA All-On-4 RADA?
Higijena All-On-4 rada je ista kao i kod prirodnih zuba. Dakle, nije posebno uvoditi posebne metode ili sredstva, već je potrebno savjesno i redovito provoditi uobičajene mjere oralne higijene. Više o samoj temi možete pročitati u već objavljenom članku na našem blogu OVDJE.
10. TRAJNOST All-On-4 RADA?
Kao što sam već napomenuo, trajnost svakog protetskog rada, pa tako i All-On-4 ovisi o redovitoj oralnoj higijeni. Prosječno vrijeme trajanja fiksnog nadomjestka je 10 godina. To je vrijeme u kojem bi protetski rad trebao ispunjavati svoju funkciju prije nego što će ga biti potrebno zamijeniti. Ako se održava prikladna oralna higijena, pojedini nadomjestak može trajati i više od 10 godina, a ako je oralna higijena nedostatna, nadomjestak može biti izgubljen u vrlo kratkom roku.
11. MOGU LI OSTVARITI POVRAT SREDSTAVA ZA All-On-4 I All-On-6 AKO IMAM NJEMAČKO, AUSTRIJSKO ILI ŠVICARSKO ZDRAVSTVENO OSIGURANJE?
Naravno. Posebnu pogodnost imaju upravo naši pacijenti koji imaju neko od zdravstvenih osiguranja u njemačkoj, austriji ili švicarskoj. Oni od svog osiguranja mogu ostvariti povrat sredstava u prosjeku do 70%, što im u konačnici prilično snižava samu cijenu rada. Više o tom možete pročitati OVDJE.
Kontaktirajte nas pozivom na broj 00385 99 7000 999, preko WhatsAppa ili putem Facebook Messengera, rado ćemo Vas voditi u odluci do novog osmijeha krojenog baš po Vašoj mjeri!